Bhugaon
08042753090
+918856055178

DantYug Dental Clinic

About DantYug Dental Clinic-Best Dentist 08048059760

The Best Multispeciality Dental Clinic Bhugaon in bhugaon

Services
Featured Services

What We Cure

Complete Dentures Services in Bhugaon, Bhukum, Pirangut

Best Complete Dentures Service – Restore Your Smile and Confidence Missing teeth can affect your appearance, speech, and ability to eat comfortably. Complete dentures are an effective and affordable solution for people who have lost all their natural teeth. At our clinic, we provide high-quality, comfortable, and natural-looking complete dentures designed to restore your smile, confidence, and oral function. >>What Are Complete Dentures? Complete dentures are removable dental appliances used to replace all teeth in the upper or lower jaw. They are custom-made to fit your mouth perfectly, ensuring comfort, stability, and a natural appearance. >>Benefits of Complete Dentures •Restore the ability to chew and speak properly •Improve facial appearance and smile aesthetics •Provide support to lips and cheeks •Boost self-confidence •Affordable and non-surgical tooth replacement option >>Our Complete Denture Services We use advanced techniques and high-quality materials to create dentures that are: •Comfortable and well-fitting •Natural-looking in shape and color •Durable and long-lasting •Custom-designed for each patient >>Our Denture Treatment Process •Initial Consultation: Oral examination and treatment planning. •Impressions: Precise measurements for accurate fit. •Trial Denture: Testing shape, size, and appearance. •Final Denture Placement: Delivery of the finished dentures. •Follow-Up Visits: Adjustments for maximum comfort. >>Why Choose Our Complete Denture Service? •Experienced and skilled dental professionals •Personalized treatment for every patient •Modern dental technology •Strict hygiene and sterilization standards •Affordable and transparent pricing If you are looking for the best complete dentures service, visit our clinic for expert care and long-lasting results. Regain your smile and enjoy eating and speaking with confidence. >>Book your consultation today and take the first step toward a complete, beautiful smile.

Flexible Dentures Service in Bhugaon, Bhukum, Pirangut

Are you looking for a comfortable, natural-looking solution to replace missing teeth? Flexible dentures are one of the most advanced and patient-friendly options available today. At Dantyug Dental Clinic, led by Dr. Supriya Shinde, we provide high-quality, custom-made flexible dentures designed for superior comfort, aesthetics, and long-lasting performance. >>What Are Flexible Dentures? Flexible dentures are modern removable dentures made from lightweight, flexible materials instead of traditional rigid acrylic. They adapt naturally to the shape of your gums, providing a secure fit without the need for metal clasps. This makes them an ideal choice for patients who want a comfortable, discreet, and aesthetically pleasing tooth replacement option. >>Benefits of Flexible Dentures •Natural appearance that blends seamlessly with your gums •Lightweight and comfortable for everyday use •No metal clasps, ensuring a more aesthetic smile •Durable and fracture-resistant material •Snug fit that adapts to your mouth’s contours •Ideal for patients with sensitive gums or allergies to acrylic >>Why Choose Dantyug Dental Clinic? At Dantyug Dental Clinic, we focus on personalized care and advanced dental solutions. Under the expertise of Dr. Supriya Shinde, every patient receives a thorough consultation and customized treatment plan to ensure the best possible results. >>Our advantages include: •Experienced and compassionate dental care •Advanced diagnostic and treatment techniques •High-quality, precision-fit dentures •Strict sterilization and hygiene protocols •Patient-centric approach for maximum comfort >>Who Can Benefit from Flexible Dentures? •Flexible dentures are suitable for: •Patients with one or multiple missing teeth •Individuals seeking a more comfortable alternative to traditional dentures •Those who want a natural-looking smile without visible metal parts •Patients with sensitive gums >>Our Treatment Process •Detailed oral examination and consultation •Accurate impressions for a perfect fit •Custom fabrication of flexible dentures •Trial, adjustments, and final fitting •Guidance on denture care and maintenance >>Restore Your Smile with Confidence If you want a comfortable, natural, and durable tooth replacement solution, flexible dentures at Dantyug Dental Clinic are the perfect choice. Trust Dr. Supriya Shinde for expert care and a smile you’ll feel confident sharing. •Book your consultation today and experience the comfort of modern flexible dentures.

Teeth Cleaning and Polishing Treatment in Bhugaon, Bhukum, Pirangut

Best Teeth Cleaning and Polishing Treatment at Dantyug Dental Clinic Looking for professional teeth cleaning and polishing treatment to maintain a healthy, bright smile? At Dantyug Dental Clinic, we offer advanced and gentle dental cleaning services under the expert guidance of Dr. Supriya Shinde, ensuring optimal oral health for patients of all ages. >>What is Teeth Cleaning and Polishing? Teeth cleaning, also known as oral prophylaxis, is a preventive dental procedure that removes plaque, tartar (calculus), and stains from the teeth. The process is followed by professional polishing, which smoothens the tooth surface, reduces future plaque buildup, and enhances the natural shine of your teeth. >>Why is Professional Teeth Cleaning Important? Even with regular brushing and flossing, plaque can accumulate in hard-to-reach areas. Over time, this can lead to: •Gum disease (gingivitis and periodontitis) •Tooth decay •Bad breath •Yellow or stained teeth Regular professional cleaning helps prevent dental problems and keeps your smile fresh and healthy. >>Teeth Cleaning and Polishing at Dantyug Dental Clinic At Dantyug Dental Clinic, we use modern equipment and gentle techniques to ensure a comfortable and effective cleaning experience. Our treatment includes: •Ultrasonic scaling to remove tartar and plaque •Stain removal from teeth surfaces •Professional polishing for a smooth, shiny finish •Personalized oral hygiene guidance >>Benefits of Teeth Cleaning and Polishing •Removes stubborn plaque and tartar •Prevents gum disease and tooth decay •Eliminates bad breath •Brightens your smile naturally •Promotes long-term oral health >>Why Choose Dantyug Dental Clinic? Experienced care by Dr. Supriya Shinde •Advanced dental technology •Comfortable and hygienic environment •Personalized treatment for every patient •Trusted dental clinic for family dental care >>How Often Should You Get Teeth Cleaning? Dentists recommend professional teeth cleaning every 6 months to maintain healthy gums and teeth. However, the frequency may vary based on individual oral health needs. >>Book Your Appointment Today Restore the natural shine of your teeth and protect your oral health with professional teeth cleaning and polishing at Dantyug Dental Clinic. Schedule your appointment with Dr. Supriya Shinde today and enjoy a cleaner, healthier smile. Dantyug Dental Clinic – Your trusted destination for complete dental care.

Doctor's Profile Picture

Dr Supriya Shinde

Dr Supriya Shinde

BDS,PGDCC
Bhugaon

Speciality

General And Cosmetic Dental Surgeon


Education

BDS,PGDCC


Experience

8 years


Mobile

8042753090


Memberships


Registration No

A-41356

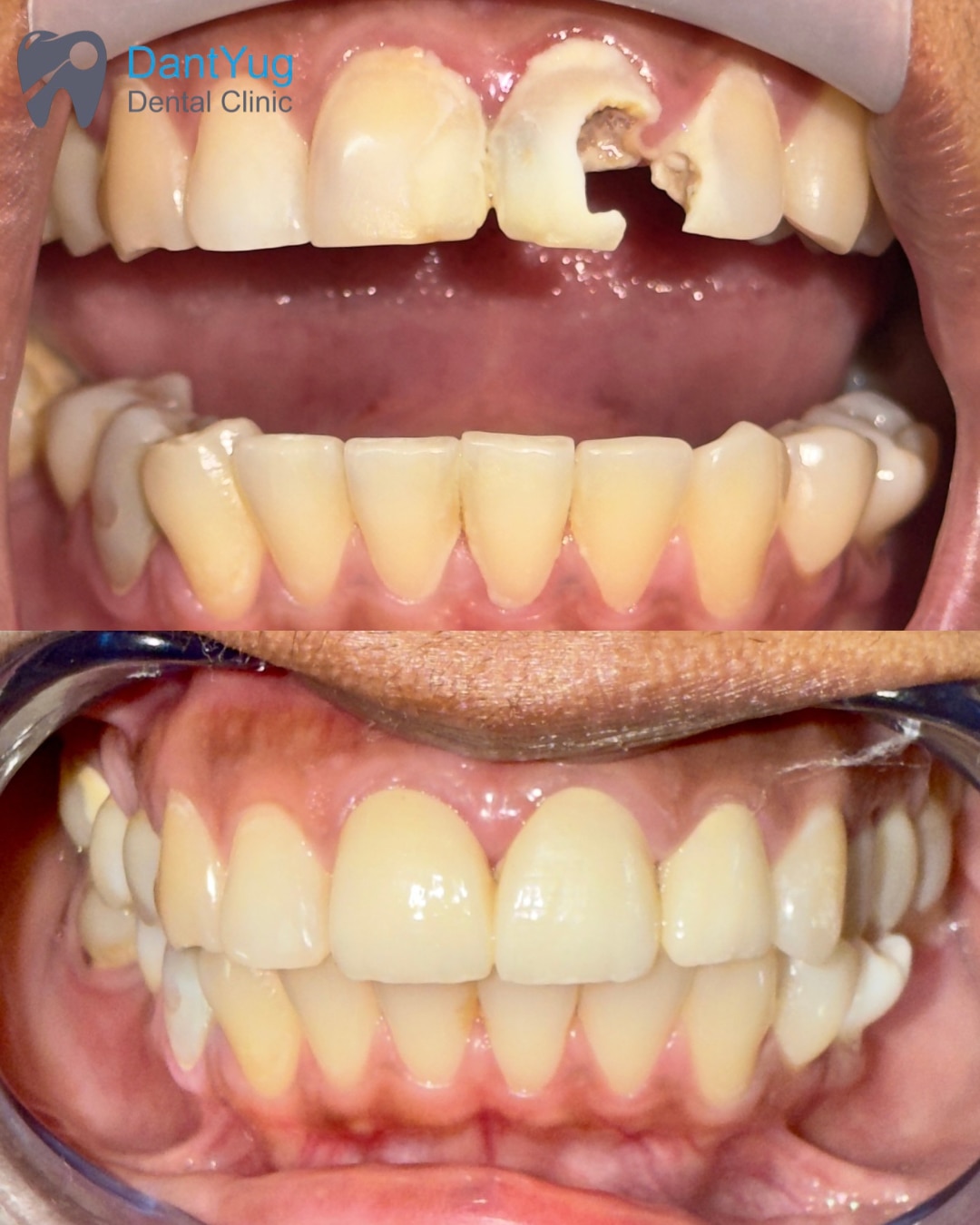
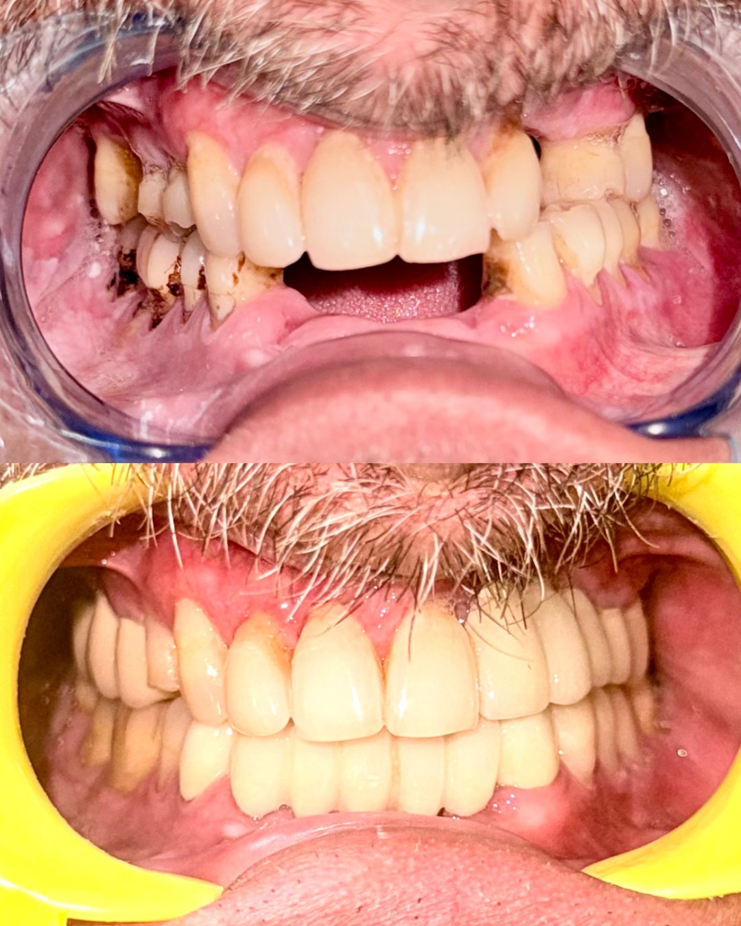
Image Gallery

Pictures That Speak

Need Trusted Second Opinion?

Not sure about your diagnosis or treatment plan? We're here to help.

Testimonials
Scaling and polishing

Had a great experience at this dental clinic. Dr. Supriya was gentle, professional, and explained the treatment clearly,...

Read More
Extraction

Feedback for Dantyug Clinic (Visit on 06.11.2025) I visited Dantyug Clinic on 06.11.2025 for the first time for my mothe...

Read More
Root canal

I had a great experience at DantYug for a root canal and extraction. I was quite anxious, but Dr. Supriya was incredible...

Read More